Accessory Navicular in Children

Foot pain in children is often dismissed as growing pains or simple fatigue from sport and play. However for some children ongoing pain on the inner side of the foot can be caused by a condition known as accessory navicular. Early recognition and the right treatment can make a significant difference to comfort confidence and long term foot health.

Accessory navicular is a common developmental variation where an extra piece of bone or cartilage is present on the inside of the foot near the arch. This bone sits next to the navicular bone which plays an important role in foot structure and function. While many children with an accessory navicular never experience symptoms others can develop pain swelling and difficulty with walking or sport.

Why accessory navicular causes pain

The accessory navicular is located where a major tendon attaches on the inside of the foot. This tendon helps support the arch and control foot movement. In children with flatter feet or increased foot rolling this tendon can be placed under extra strain. The presence of the extra bone can increase tension irritation and inflammation in the area.

Pain often becomes noticeable during late childhood or early adolescence when bones are maturing and activity levels increase. Symptoms may include a visible bump on the inside of the foot tenderness to touch redness or swelling and pain that worsens with sport walking or unsupportive footwear. Some children may begin to limp or avoid activities they previously enjoyed.

The importance of early assessment

Early podiatry assessment is key in managing accessory navicular in children. Prompt diagnosis allows treatment to begin before pain becomes persistent or limits participation in school sport and daily activities.

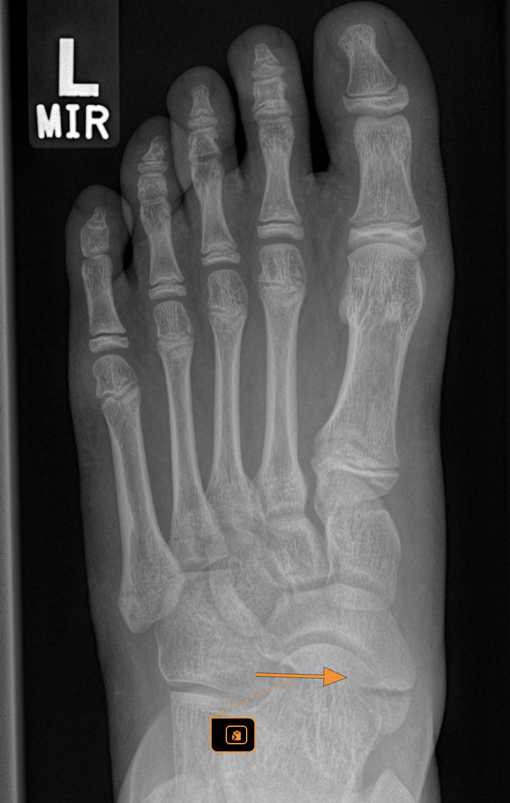
A thorough assessment includes looking at foot posture walking pattern footwear and activity levels. Imaging such as x ray may be used to confirm the presence of the accessory navicular and rule out other causes of pain. Importantly we assess how the foot functions not just what it looks like on imaging.

Custom orthotics for growing feet

One of the most effective treatments for symptomatic accessory navicular is custom foot orthotics. These are carefully designed inserts worn inside shoes to support the foot and reduce stress on the irritated area.

Custom orthotics work by improving foot alignment and controlling excessive rolling that places strain on the tendon attached to the navicular region. By supporting the arch and redistributing pressure orthotics help reduce pain and inflammation while allowing children to remain active.

Unlike generic store bought insoles custom orthotics are designed specifically for your childs foot shape size and movement pattern. As children grow orthotics can be reviewed and adjusted to ensure they continue to provide the right level of support.

Specialised rehabilitation exercises

Orthotics are most effective when combined with a structured rehabilitation program. Specialised exercises help strengthen the muscles that support the foot improve flexibility and reduce tension through the affected tendon.

Rehabilitation may include exercises to strengthen the muscles of the foot and lower leg improve balance and control and gently stretch tight structures that contribute to overload. Exercises are carefully selected based on the childs age symptoms and activity goals and are progressed gradually as pain improves.

This active approach helps children develop better foot function not only reducing current pain but also lowering the risk of future problems as they grow.

Footwear advice and activity modification

Supportive footwear plays an important role in managing accessory navicular. Shoes with good midfoot support a firm heel counter and appropriate fit help protect the irritated area. We provide clear guidance on school shoes sports footwear and casual shoes that best suit your childs feet.

In some cases temporary activity modification may be recommended during painful flare ups. This does not mean complete rest but rather adjusting activities to allow the foot to settle while rehabilitation and orthotic support take effect.

Avoiding long term problems

Without proper management ongoing irritation of the accessory navicular can lead to chronic pain reduced participation in sport and in some cases long term tendon issues. Early conservative care is highly successful for most children and surgery is rarely required.

By addressing the underlying foot mechanics supporting the foot with custom orthotics and guiding children through appropriate rehabilitation we aim to resolve pain restore confidence and keep children active.

Supporting children and parents

We understand that foot pain can be frustrating and worrying for both children and parents. Our approach focuses on education reassurance and clear treatment plans so families understand what is happening and how each part of care contributes to recovery.

Every child is different and treatment is always individualised. With the right support most children with accessory navicular can return to full activity comfortably and continue to grow with strong healthy feet.

If your child is experiencing ongoing pain on the inside of the foot or you have noticed a bony bump that becomes sore with activity a podiatry assessment can provide clarity and a clear path forward. Book now here at Birmingham podiatrist

Previous
Previous

Verruca Treatment for Children

Next
Next

We Are Proud to Welcome BUPA Podiatry Patients to Our Clinic